
Presso lo Studio Dentistico DENTI a Milano ti accompagniamo in un percorso per valorizzare il tuo sorriso con naturalezza ed equilibrio, così da aiutarti a riavere quel sorriso bellissimo che desideri da tempo.


Eviti le foto, oppure hai sempre un'espressione seria, perché non vuoi mostrare il sorriso.
Ti imbarazzi quando parli o ridi per paura che si notino i denti (e magari metti la mano davanti per coprire).
Hai denti ingialliti, consumati o disallineati.
Ha delle macchine visibili nei denti che odi vedere allo specchio.
Le vecchie otturazioni o capsule si notano e “sporcano” il tuo sorriso.
Ti piacerebbe migliorare l’aspetto del sorriso, ma non vuoi risultati finti.
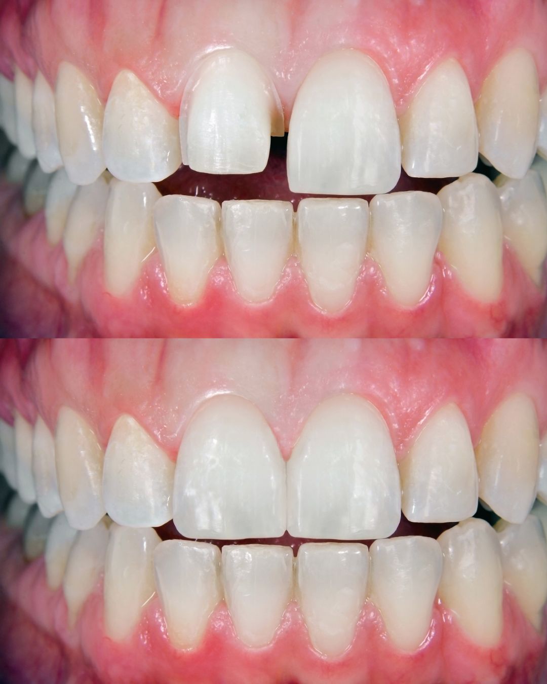
Sbiancamento dentale professionale, per illuminare il sorriso in modo sicuro.
Faccette dentali in ceramica o composito, per migliorare forma e colore.
Ricostruzioni estetiche o sostituzione di vecchie otturazioni metalliche.
Corone o ponti in materiali altamente estetici, senza metallo visibile.
Allineatori trasparenti, per correggere piccoli disallineamenti in modo discreto.
Rimodellamento gengivale, per armonizzare il contorno del sorriso.
NB: Ogni trattamento viene pianificato in modo personalizzato, solo dopo un’attenta diagnosi clinica.


Analizziamo insieme il tuo sorriso e il profilo del viso.
Valutiamo il colore, la forma e l’armonia dei denti e delle gengive.
Ti spieghiamo le opzioni di trattamento adatte al tuo caso, con esempi realistici.
Ti consegniamo un piano scritto e personalizzato, chiaro e trasparente.
L’obiettivo è trovare l’equilibrio giusto tra estetica, funzione e naturalezza.
Clicca per leggere la risposta.
Riceverai un piano personalizzato, con alternative e costi chiari. Potrai decidere con calma se e come procedere.
Il nostro obiettivo è la naturalezza: armonia, proporzione e luminosità in linea con il tuo volto.
Durante la visita analizziamo la situazione e ti spieghiamo cosa si può migliorare realisticamente, senza promesse irrealistiche.
Dipende dal tipo di percorso. Alcuni trattamenti (come lo sbiancamento) sono rapidi, altri richiedono più fasi. Ti spiegheremo tempi e step già alla prima visita.
Studio Dentistico DENTI a Milano
Indirizzo: Via Indirizzo, 299
Telefono: 340000000
WhatsApp: 3401234568
Email: [email protected]
Domande Frequenti
No, se viene eseguito con prodotti professionali e sotto la nostra supervisione.
Durante la visita valutiamo la salute dello smalto e delle gengive, scegliendo la concentrazione più adatta al tuo caso per ottenere un effetto luminoso e sicuro.
In molti casi si possono applicare con una preparazione minima o addirittura senza limare.
La scelta del tipo di faccetta e della tecnica viene fatta solo dopo un’analisi accurata del sorriso e del profilo del viso.
L’obiettivo del nostro lavoro è sempre la naturalezza.
Ogni intervento estetico viene studiato per rispettare i lineamenti del volto, la forma originale dei denti e le proporzioni del sorriso.
Il risultato finale deve valorizzarti, non stravolgere la tua immagine.
La durata dipende dal tipo di trattamento e dalle abitudini quotidiane.
Con una corretta igiene e controlli periodici, i risultati possono mantenersi a lungo, per molti anni.
Durante la visita ti daremo tutte le indicazioni per preservare il risultato nel tempo.
Sì, se clinicamente indicato.
Spesso un sorriso armonioso si ottiene con una pianificazione che integra più terapie, ma sempre nel rispetto della salute e della funzionalità.
Ti mostreremo le opzioni possibili durante la valutazione.
Non esiste un costo standard: ogni caso è diverso per complessità, materiali e obiettivi.
Durante la visita riceverai un piano personalizzato e trasparente, con tempi e costi chiari, così potrai decidere con serenità come procedere.
Studio Dentistico Denti - Via Roma, 200 - Roma - 00139 - Partita Iva: 123456789 - [email protected] - N. assicurazione: 2309384838 - Dottor Mauro Denti - Iscritto all'albo dei medici di Roma il 01/01/2000 - Laureato all'università degli studi di Roma il 01/01/1990